Dental Implants
Dr. Smith performs every aspect of the dental implant procedure at our Boulder office, which saves you money and time.
Trusted dentists in Boulder, Dr. Jon Smith & Dr. Amy Smith, focus on developing comfortable and dependable relationships with patients that foster confidence and mutual respect.
We are always accepting new patients and honored to serve as Best Dentists in Boulder 2021! Let us be the home for all of your family dentistry in Boulder, CO.
We offer financing options to make dentistry affordable for you. Learn More
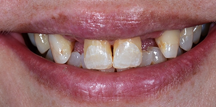
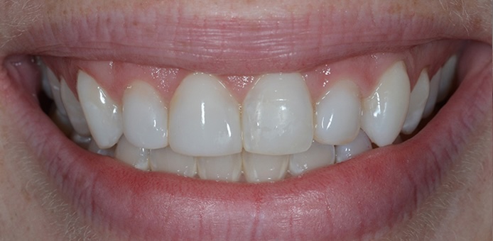
Kelly was a victim of domestic Violence. Dr Jon volunteered with Dental Lifeline services of Colorado to give her a smile makeover. This was accomplished with Crowns and Bridges.
Elizabeth had a lot of “chalky white” stains after braces that bothered her. She did not want to “drill” her teeth and get crowns. We were able to blend her discoloration with composite and did not have to drill on her teeth at all.