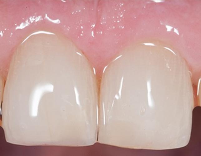
Jason hated how his front teeth looked. He wanted to fix the holes in them without having to change his overall smile. We were able to accomplish that with dental composite.


Jason hated how his front teeth looked. He wanted to fix the holes in them without having to change his overall smile. We were able to accomplish that with dental composite.