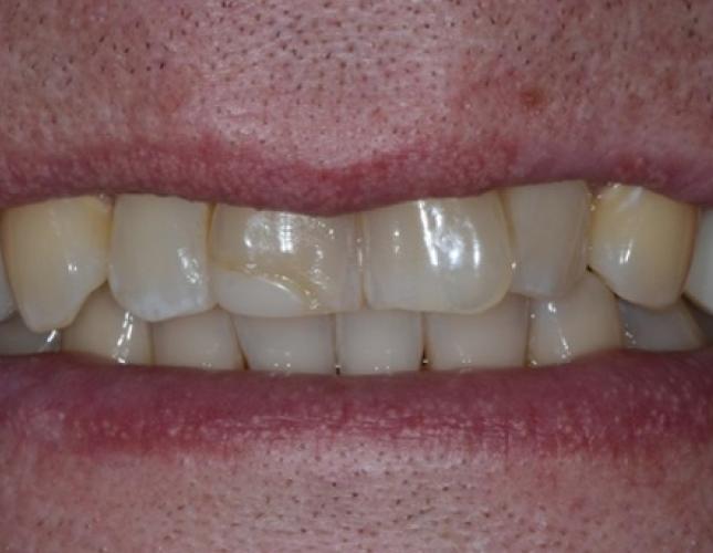
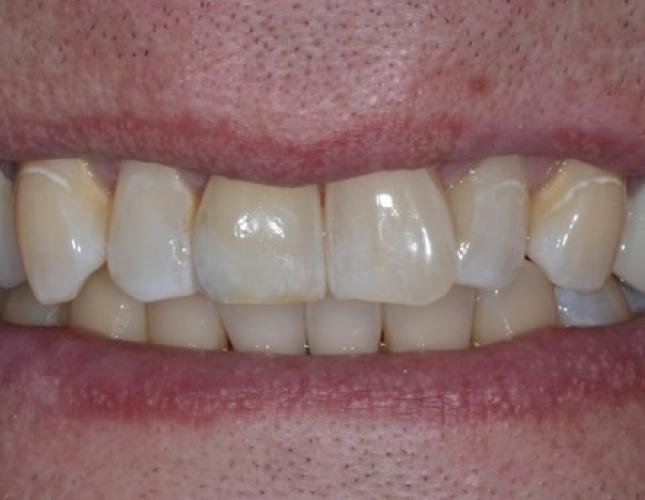
John had a worn out filling on his front tooth. John always hated that the filling did not bledn in with the rest of his teeth. We were able to restore his tooth and blend it with his natural smile with the use of composite materials and did not even need anesthetic!

