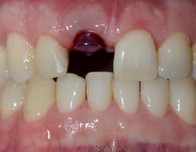
John had a dark front tooth form an accident as a child. He entrusted Dr Jon to place and restore his missing front tooth with a dental implant.


John had a dark front tooth form an accident as a child. He entrusted Dr Jon to place and restore his missing front tooth with a dental implant.