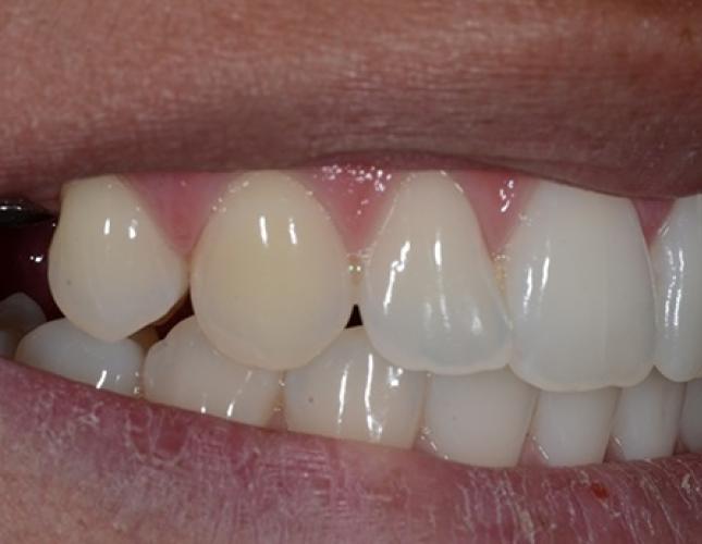
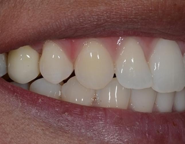
Phoebe was a college student that was missing her upper right tooth since childhood that effected her smile. We were able to replace her missing tooth with a dental implant.
Her Testimonial: "Best dental practice in Boulder! Had an implant done by Dr Jon and the entire process from first to last appointment went super smoothly, the procedure never hurt and my new tooth looks great!” - Phoebe C.

